Invisalign
Invisalign aligners are clear, custom-made aligners that gently move your teeth into their ideal position without the need for metal braces. They’re discreet, comfortable, and removable, making them a great option for patients who want to straighten their smile with minimal disruption to their daily routine. Ideal for adults and teens with mild to moderate crowding, gaps, or bite issues, Invisalign offers a modern, flexible way to achieve a confident smile. Treatment starts from £1,500.
Feeling unsure about what’s involved in an Invisalign consultation? Our video guide takes you through each step, so you know exactly what to expect.
The Invisalign Process
At your Invisalign consultation we will take photos and a scan of your mouth in order to generate a virtual 3D model of your teeth. This will show you how your teeth will move week by week and how long your treatment will take.
See what Invisalign could do for you with their handy smile visualisation tool. Take a selfie and receive a computer-generated simulation of your potential results.
Want to see what your teeth could look like after having Invisalign?
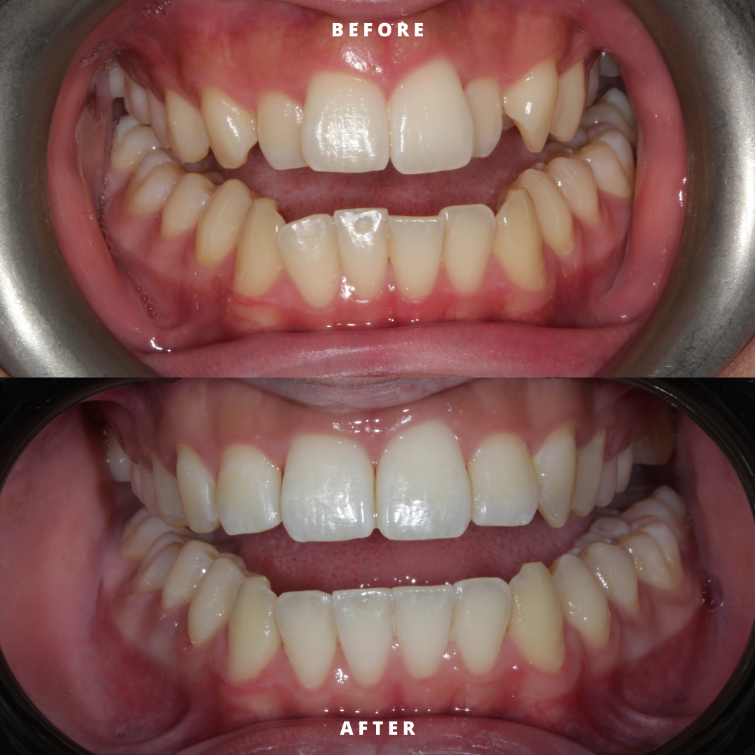
Real Invisalign results by Dr Isabella Parkes
An alternative to Invisalign is fixed braces
Fixed braces are a less discreet option, but they may be ideal if wearing aligners for 21 hours a day doesn't suit your lifestyle.
When you book a consultation with me, we’ll discuss all the available options and find the one that works best for you.

